你有没有听说过9158虚拟视频?这可是最近在网上火得一塌糊涂的东西呢!想象你可以在屏幕前和世界各地的人实时互动,就像真的面对面一...
你有没有看过那些热血沸腾的赛龙舟视频?那种紧张刺激的气氛,仿佛能让你感受到水花四溅的快感!今天,就让我带你一起走进这个充满激情的...
你有没有想过,在这个信息爆炸的时代,我们交流的方式也在悄悄地发生着变化?没错,我要跟你聊聊的就是那个越来越受欢迎的聊天视频。想象...
你有没有看过那个超级酷炫的哪吒视频?最近在网络上可是火得一塌糊涂呢!那画面,那特效,简直让人热血沸腾!今天,就让我带你一起深入探...
夏天来了,桃树也进入了生长旺盛期。看着那些枝繁叶茂的桃树,你是不是也心动了呢?想要自家种的桃子个大汁多,那就得好好修剪一下啦!今...
你有没有听说过杏红视频?最近这玩意儿在网上可是火得一塌糊涂呢!想象你坐在家里,轻松一点开手机,就能看到各种精彩纷呈的内容,是不是...
你有没有想过,那些在优酷上看到的好视频,怎么才能把它们下载到自己的电脑上呢?是不是觉得这事儿有点儿复杂,其实,只要掌握了正确的方...
你有没有看过那些让人捧腹大笑的猫抓老鼠视频?那种场面,简直就像是一场精彩的戏剧,让人忍不住想一探究竟。今天,就让我带你走进这个充...
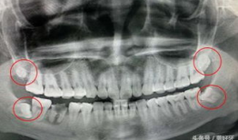
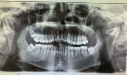
你知道吗?拔智齿这个话题,最近在网络上可是火得一塌糊涂呢!很多人都在好奇,拔智齿到底是个啥样的过程,是不是像传说中的那么恐怖?今...
你有没有发现,最近网上那些大美女的视频简直让人停不下来啊!各种风格,各种场合,简直就像是一场视觉盛宴。今天,就让我带你一起探索这...